ORMED Research profile

The traditional ORMED profile is the combination of experimental and clinical research in oral health.

Organization and supervision of randomized clinically controlled  studies (RCT). 

GCP conform study design including application for ethical approval, selection of study sight, calibration of investigators and study nurses, biostatistics. 

(see Publications)

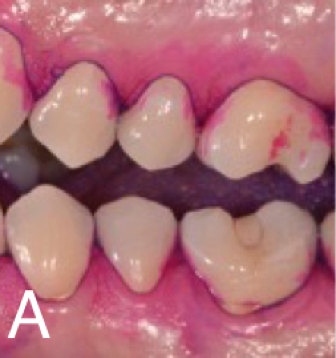
Clinically validated robot testing of plaque removal efficacy by manual and powered toothbrushes, computer-assisted plaque planimetry of 24 coronal fields and 6 root fields at four sites per tooth, including all tooth groups in the deciduous dentition, in mixed dentition and in the permanent dentition (see Publications).

Plaque is simulated either with our unique organic and anorganic plaque simulation giving superior discrimination of plaque removal efficacy for all different oral hygiene devices.

Development of oral hygiene products and experimental laboratory testing followed by clinical studies. Comparison of low abrasive gels with oral hygiene tablets and abrasive dentifrices. The aim of gel application is prolonged bioavailability in the oral cavity in dry mouth conditions, nursing conditions and post operative rehabilitation.

Toothbrushes and toothpaste play a crucial role in oral health. Their design and composition can significantly impact the rate and pattern of tooth wear. The ORMED methodology of clinical simulation of cervical wear by robot simulated 3-year toothbrushing in a human tooth model is the most sophisticated test model to answer this research question.  It plays a major role in innovating and improving toothbrushes and dentifrice to balance the effect of plaque control and oral hygiene by minimizing the effect of severe tooth wear.

Ergonomics in dental operating microscopy, individual adaptation of ergonomic position of the operator, individualization of configuration of microscopes, clinical support for the development and improvement of operating microscopes.

ORMED invented a novel filter to enhance the light conditions while working with light-cure dental materials. Click on the image to see the introduction video. This technology was implemented into the Carl Zeiss EXTARO 300 microscope. Click on the publication area to get more details about this technology.

ORMED invented an Adaptive Spray preparation technology enabling optimal vision with no change of modes and instruments, in wet and dry condition. Click here to find out more. 

The technology is integrated as an option into the DSA 3500  dental units provided by Dental International.

Methodological development and experimental testing of guided endodontic treatment support by using combined 3D imaging and computer aided guidance followed by clinical testing. This research was implemented into the SICAT Endo software and SICAT Access guide support.

Diese Website verwendet Cookies. Bitte lesen und akzeptieren Sie unsere Datenschutzerklärung.

OK